-
05 de maig de 2026
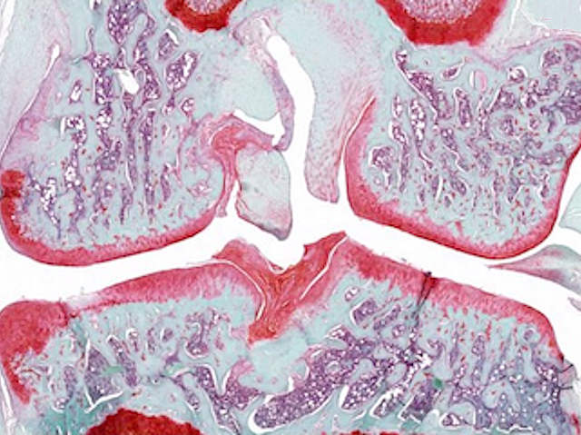
Un Punt de Control Comú
Les característiques que definixen les cèl·lules mare són la seua capacitat de convertir-se en diversos tipus cel·lulars i la seua habilitat per a autorenovar-se. Aquesta capacitat d’autorenovació garantix el manteniment de les reserves de cèl·lules mare en el cos i, si els científics saben aprofitar-la bé, també al laboratori. Quan es mantenen cultius de cèl·lules mare al laboratori, els investigadors solen utilitzar diferents combinacions de factors específics per a cada tipus de cèl·lula mare. No obstant això, investigacions recents han identificat un punt de control comú (la quinasa reguladora GSK3), que, quan s’inhibix, manté la capacitat d’autorenovació en diversos tipus de cèl·lules mare i en diferents espècies. De fet, la inhibició de GSK3 ha permés cultivar conjuntament epiblasts de ratolí i cèl·lules mare embrionàries, com es mostra a la imatge (en verd i roig), mantenint alhora les seues identitats pròpies, cosa que fins ara era impossible. A més de millorar les tècniques de cultiu de cèl·lules mare, el descobriment d’aquest punt de control comú podria tindre aplicacions clíniques per a millorar la salut i la regeneració de teixits envellits.
Escrit per Ruth Williams
Imatge de Duo Wang/Ying Lab/USC Stem Cell. Publicació de Duo Wang i Xiukun Wang, i col·laboradors/es
Eli and Edythe Broad Center for Regenerative Medicine and Stem Cell Research at USC, Keck School of Medicine, USC, Los Angeles, CA; Epigenetics and RNA Biology Laboratory, National Institute of Environmental Health Sciences, Durham, NC, EUA
Drets de la imatge reservats pels autors originals
Publicat en Cell Research, abril de 2026
Què és la BPoD
BPoD són les sigles en anglès de la Imatge Biomèdica del Dia (“Biomedical Picture of the Day”). El web original va ser creat i gestionat pel MRC Laboratory of Medical Sciences des de gener de 2012 fins al juliol de 2023 i ara es manté de manera independent per un equip dedicat de científics i escriptors.
L'arxiu, en constant creixement, de més de 4000 imatges d'investigació, documenta més d'una dècada de progrés. Exploreu la col·lecció i mireu què descobriu. Les imatges són possibles gràcies a la generositats dels científics de tot el món.
Aquesta web és la versió oficial en català de la BPoD. Els creadors de la BPoD no es responsabilitzen de la fidelitat de la traducció.